学术笔记

【学术笔记】催产素在恐惧反应以及在社会行为调节中的作用

2025-09-24    点击:
图片  

◆ ◆ ◆ ◆

【学术笔记】催产素在恐惧反应以及在社会行为调节中的作用


记录人:贾沛媛 于翔实验室


2025年09月24日下午,受北大-清华生命科学联合中心于翔教授邀请,瑞士洛桑大学(University of Lausanne)教授Ron Stoop在生命科学学院邓祐才报告厅带来一场题为“How oxytocin makes us “tick”: it’s role in fear, escape and their modulation by social behavior”的精彩报告。


图片    
图片    

Ron Stoop教授做报告与交流

【概要】

杏仁核是大脑边缘系统的重要组成部分,主要位于颞叶内侧,因其形状类似杏仁而得名。其在情绪处理、记忆形成及决策中发挥重要作用。基底外侧杏仁核(basolateral amygdala, BLA)和中央杏仁核 (central amygdala, CeA) 是杏仁核的主要组分,共同构成习得性恐惧核心神经环路。研究发现,条件性恐惧的建立伴随BLA神经元激活增强,且BLA至CeA的投射在调节恐惧行为中起关键作用,但具体机制尚不明确。本研究中,Stoop教授团队聚焦于CeA内两群分别高表达催产素受体(oxytocin receptor, OXTR)与加压素受体(vasopressin receptor, AVPR)的神经元,采用特异性受体激动剂(Thr4, Gly7)-Oxytocin(TGOT,特异性激活OXTR)与(Phe2, Orn8)-Oxytocin(选择性激活AVPR)进行研究。发现TGOT可增强外侧中央杏仁核(CeL)中OXTR⁺神经元兴奋性,同时通过增强GABA能输入抑制内侧杏仁核(CeM)中AVPR⁺神经元活性。逆行示踪实验进一步确认,CeM中不同神经元群分别投射至调控冻结(freezing)行为的中脑导水管周围灰质(PAG)和调控自主反应的孤束核/背迷走复合体(NTS/DVC),引起不同的生理反应。在体研究发现激活OXTR可显著减少冻结行为,但不影响心率变化,表明催产素选择性地调节部分恐惧反应。结合临床研究发现的Urbach-Wiethe病(UWD)患者因BLA钙化表现出逃避行为缺失,在大鼠中抑制BLA可模拟该表型,而激活CeL中OXTR⁺神经元则可挽救该缺陷。进一步研究表明,下丘脑催产素能神经元直接投射至CeA,光遗传激活该通路可促进催产素释放并减少冻结行为。社会接触可缓解恐惧反应的效应同样依赖于CeA中催产素信号。综上,本研究系统阐明了一条由BLA输入、CeL中OXTR⁺神经元介导的GABA能抑制通路,通过调控CeM中AVPR⁺神经元活性,进而影响下游不同行为输出的神经机制。该发现不仅揭示了恐惧行为中冻结反应的分子与环路基础,也为催产素在恐惧调节中的作用提供了新视角。

【精彩回顾】

杏仁核编码恐惧记忆


恐惧包括先天性恐惧与习得性条件恐惧。在经典恐惧条件反射模型中,声音作为条件刺激(CS)与电击等非条件刺激(US)反复配对出现,最终使动物在单独呈现声音时也产生恐惧反应。杏仁核是这一学习过程的核心脑区(图一)。大鼠杏仁核切片研究显示,声音可部分激活BLA;当声音与电击共同出现时,BLA激活增强;而建立条件恐惧后,仅声音即可强烈激活BLA。然而,BLA如何具体投射至CeA,并进一步调控心跳、血压等外周反应的神经机制尚不明确。

图片    

图一,参与恐惧条件反射的神经通路1


加压素和催产素在恐惧引起的冻结行为中有相反的功能

Stoop教授团队前期发现,CeA内存在空间相邻、分别高表达OXTR与AVPR的神经元群体(图二)。催产素与加压素结构相似但功能各异:加压素主要调控血压,催产素则参与分娩、泌乳及社会行为。两者受体虽存在交叉结合,但亲和性不同。为此,本研究采用两种高选择性受体激动剂:TGOT与(Phe2, Orn8)-Oxytocin进行机制探索。

电生理记录表明,TGOT可显著提高CeL中OXTR⁺神经元放电频率(图二 B),同时抑制了CeM神经元活动(图二 C)。膜片钳实验进一步揭示,TGOT增强CeM区GABA能电流,提示CeL中OXTR⁺神经元可能通过GABA能投射抑制CeM的AVPR⁺神经元,从而调控恐惧行为。

图片    

图二,催产素和加压素受体在大鼠 CeA 中的分布和作用2


Stoop团队据此提出作用机制:CeL中GABA能神经元被催产素激活后,投射抑制CeM中受加压素直接调控的神经元,进而通过下游脑区调节不同行为输出(图三)。

图片    

图三,催产素和加压素对CeA中来自不同传入途径的输入门控的影响2



催产素可以促进恐惧反应中的逃跑行为

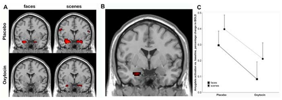
在人类研究中,恐惧面孔或威胁场景可显著激活杏仁核,而外源性催产素可减弱该反应(图四)。

图片    

图四,催产素对杏仁核激活的影响3


CeA可投射至多个下游核团,分别调控不同生理反应。为解析CeL的GABA能信号如何通过不同神经元群调节行为,下一步研究聚焦于调控冻结行为的中脑导水管周围灰质(PAG)和调控心跳的孤束核/背迷走复合体(NTS/DVC)。通过逆行病毒示踪技术,在这两个脑区分别注射不同荧光标记病毒,并在CeM中发现双重标记神经元(图五)。

图片    

图五,CeM 对 PAG 和 DVC 投射的不同神经元群4


离体膜片钳结果显示,TGOT特异性影响投射至PAG的CeM神经元,显著提高其抑制性突触后电流频率,并降低动作电位发放(图六 A,C)。

图片    

图六,TGOT对CeM→DVC和CeM→PAG神经元的明显影响4


在体实验同样表明,脑内注射TGOT显著减少条件恐惧引发的冻结行为,但不影响心率变化,说明催产素仅部分参与恐惧反应调节(图七)。

图片    

图七,TGOT对条件性恐惧反应中的冻结行为和心率所产生的差异影响4


催产素通路与社会缓冲效应在恐惧反应中的作用

为探究恐惧体验与行为表现的关联,后续研究关注了由ECM1基因突变导致双侧BLA钙化的Urbach-Wiethe病(UWD)患者。患者表现出恐惧反应缺陷,在惊吓刺激中反应时间长于正常人群。在体实验证实,抑制BLA活性可延长冻结时间、减少逃避,很好模拟了患者表型(图八)。进一步研究发现,激活CeL中OXTR则可逆转BLA抑制的效应。因此,BLA通过调控CeL区OXTR⁺神经元对CeM的抑制作用,影响了冻结反应时间。

图片    

图八,抑制BLA活性可延长冻结时间5


此外,UWD患者对社会情境的判断也出现异常,表现为对“自私”个体信任度增高,同样提示催产素系统参与调控。病毒示踪实验进一步确认下丘脑催产素能神经元直接投射至CeA。光遗传激活该通路可促进CeA区催产素释放,并快速解除冻结行为。在生理机制层面,社会缓冲效应(同伴存在减轻恐惧)被证实依赖于下丘脑至中央杏仁核的催产素信号通路。Stoop等人进而通过大鼠听觉恐惧模型,发现下丘脑至中央杏仁核的催产素通路既是同伴在场时恐惧减轻的必要条件,也维持24小时后社会缓冲效应的持续存在。单神经元记录显示,社会缓冲效应会抑制恐惧编码神经元,同时激活一群仅在缓冲效应形成后才对条件刺激反应的“缓冲神经元”(图九)。这些神经元的活动可被催产素信号与同伴接触增强,从而使条件刺激的编码由“恐惧”模式转为“安全”模式,实现恐惧行为的持续调控(图九)。

图片    

图九,CeA脑区恐惧编码神经元(绿)和“缓冲神经元”(红)分群6


Stoop教授团队的此项研究,揭示了杏仁核神经环路在恐惧调控中的核心作用,提出催产素作为关键信号分子将威胁信号转化为行为指令,也阐明了其通过“缓冲神经元”实现恐惧记忆持久重塑的机制。

参考文献

1.LeDoux, J. E. Emotion circuits in the brain. Annual Review of Neuroscience 23, 155-184 (2000).

2.Huber, D., Veinante, P. & Stoop, R. Vasopressin and oxytocin excite distinct neuronal populations in the central amygdala. Science 308, 245-248 (2005).

3.Kirsch, P. et al. Oxytocin modulates neural circuitry for social cognition and fear in humans. Journal of Neuroscience 25, 11489-11493 (2005).

4.Viviani, D. et al. Oxytocin selectively gates fear responses through distinct outputs from the central amygdala. Science 333, 104-107 (2011).

5.Terburg, D. et al. The Basolateral Amygdala Is Essential for Rapid Escape: A Human and Rodent Study. Cell 175, 723-735 (2018).

6.Hegoburu, C. et al. Social buffering in rats reduces fear by oxytocin triggering sustained changes in central amygdala neuronal activity. Nature Communications 15, 2081 (2024).



图片